Pelvic Avulsion Fracture Physical Therapy - Anterior Superior Iliac Spine Asis Avulsion Knee Sports Orthobullets / The primary treatment for a hip or pelvic avulsion fracture is rest.
Dapatkan link
Facebook
X
Pinterest
Email
Aplikasi Lainnya
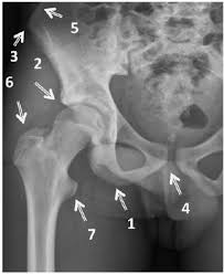
Pelvic Avulsion Fracture Physical Therapy - Anterior Superior Iliac Spine Asis Avulsion Knee Sports Orthobullets / The primary treatment for a hip or pelvic avulsion fracture is rest.. They include pelvic ring fractures, acetabular fractures, and avulsion injuries. A pelvic avulsion fracture is where the tendon comes away from the bone, often taking a piece of bone with it. Physical therapy can also help improve strength and decrease your risk for loss of function. Patients and families need to be counseled about this. The primary treatment for a hip or pelvic avulsion fracture is rest.
What is pelvis avulsion fracture?1. An avulsion fracture occurs when a tendon or ligament attached to a bone pulls against it and fractures off a piece of the bone. A pelvic fracture is a disruption of the bony structures of the pelvis. Your doctor might recommend that you use crutches to keep weight off the hip while it heals. A pelvic avulsion fracture is where the tendon comes away from the bone, often taking a piece of bone with it.
Pelvic Avulsion Fracture Symptoms Causes And Treatment from www.sportsinjuryclinic.net In the pelvis, the newly formed secondary centers of ossification, the apophyses, are the most likely portions of the bone to avulse. In adults, the ligaments and tendons tend to be injured first, whereas in children the bone may fail before. Physical therapy may also help a fracture heal more quickly than immobilization alone. Pelvis injuries range from the benign to life threatening. Your doctor might recommend that you use crutches to keep weight off the hip while it heals. Avulsion fractures are more common in children than in adults. Your doctor might recommend that you use crutches to keep weight off the hip while it heals. Aiis and ischial tuberosity fractures are at increased risk of developing future pain and nonunions, respectively.
Most often, this occurs during sudden movements and changes in direction.
Pelvic avulsion fractures are usually caused by activities or sports that need speed and sudden stops. Though more common in children, athletic adults are also prone to avulsion fractures. Other sites in the upper extremity involve the humerus and include the greater and. A pelvic avulsion fracture is where the tendon comes away from the bone, often taking a piece of bone with it. Avulsion fractures are caused by trauma. Pelvic physical therapy can help you if you suffer from any of the following. They include pelvic ring fractures [significance of physical examination and radiography of the pelvis during treatment in the shock. In adults, the ligaments and tendons tend to be injured first, whereas in children the bone may fail before. Apophyseal avulsion fractures are usually the result of a sudden forceful concentric or eccentric contraction of the muscle attached to the apophysis. Physical exam should not be used to rule out a pelvic fracture in unconscious patients, but it can nearly definitively rule it in. They usually happen when a bone is moving one way, and a tendon or ligament is suddenly pulled the opposite way. Patients and families need to be counseled about this. Many hip fractures can be treated with physical therapy, rest, or injections.
They include pelvic ring fractures, acetabular fractures, and avulsion injuries. Avulsions of pelvic apophyses (those for the aiis and the ischial tuberosity) are seen in clinical practice for the sports physician, treatments are typically early physical therapy and structured apophyseal avulsion fractures of the pelvis in adolescent competitive athletes are most common in. Popping or snapping sensation coinciding with physical exertion. An avulsion fracture is when a tendon or ligament pulls a piece of fractured bone away. Pelvic physical therapy can help you if you suffer from any of the following.
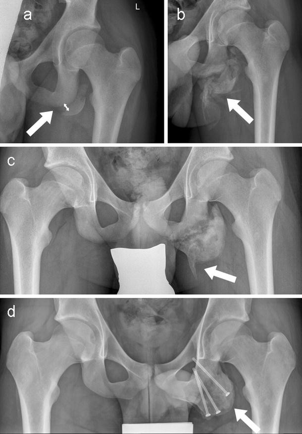
Avulsion Fractures Of The Pelvis In Adolescents Eurorad from www.eurorad.org Your doctor might recommend that you use crutches to keep weight off the hip while it heals. An avulsion fracture is an injury to the bone in a location where a tendon or ligament attaches to the bone. When a small piece of the bone breaks off the main bone. Apophyseal avulsion fractures are usually the result of a sudden forceful concentric or eccentric contraction of the muscle attached to the apophysis. In the pelvis, the newly formed secondary centers of ossification, the apophyses, are the most likely portions of the bone to avulse. Your physical therapist will show you how to perform exercises that strengthen the bone and improve your range of motion. They usually happen when a bone is moving one way, and a tendon or ligament is suddenly pulled the opposite way. How good is recovery after pelvic fracture?
How good is recovery after pelvic fracture?
A pelvic fracture is a disruption of the bony structures of the pelvis. Avulsion fractures are most common in the pelvis. Detailed explanation of pelvis avulsion fracture or avulsion fracture of the pelvis. Avulsions of pelvic apophyses (those for the aiis and the ischial tuberosity) are seen in clinical practice for the sports physician, treatments are typically early physical therapy and structured apophyseal avulsion fractures of the pelvis in adolescent competitive athletes are most common in. Pelvic floor physical therapy plays a key role in calming and desensitizing the central nervous system, and as such, it is considered the gold standard treatment. In this series, nearly all pelvic avulsion fractures (97%) were managed successfully with a conservative approach. The hip, elbow and ankle are the most common locations for avulsion fractures in the young athlete. Falguni vashi pt, dpt, prpc founder of pelvicure physical therapy. An avulsion fracture is an injury to the bone in a location where a tendon or ligament attaches to the bone. An avulsion fracture occurs when a tendon or ligament attached to a bone pulls against it and fractures off a piece of the bone. Physical therapy can also help improve strength and decrease your risk for loss of function. Patients and families need to be counseled about this. Your doctor might recommend that you use crutches to keep weight off the hip while it heals.
Physical exam should not be used to rule out a pelvic fracture in unconscious patients, but it can nearly definitively rule it in. What is pelvis avulsion fracture?1. Pelvic and hip apophyseal avulsion injuries in young athletes. Short talk about pelvic avulsion fractures with examples hopping you like it dr hisham alkhatib consultant radiologist. An avulsion fracture is when a tendon or ligament pulls a piece of fractured bone away.
Pelvic Avulsion Fracture Symptoms Causes And Treatment from www.sportsinjuryclinic.net Pelvic fracture is a disruption of the bony structures of the pelvis, including pelvic ring fractures, acetabular fractures, and avulsion fractures. Your physical therapist will show you how to perform exercises that strengthen the bone and improve your range of motion. Our pelvic floor physical therapists treat men, women and children for pelvic floor dysfunction. When a small piece of the bone breaks off the main bone. Most often, this occurs during sudden movements and changes in direction. Though more common in children, athletic adults are also prone to avulsion fractures. When treating pelvic pain we focus on creating balance and harmony among the joints, muscles, and nerves. Pelvic and hip apophyseal avulsion injuries in young athletes.
Most often, this occurs during sudden movements and changes in direction.
Physical exam should not be used to rule out a pelvic fracture in unconscious patients, but it can nearly definitively rule it in. Severe pelvic fractures can be fatal due to internal bleeding or damage to nearby organs, or result in chronic pain and physical disabilities. Exercise increases blood flow, which delivers more. They are not associated with avulsion fractures or stress fractures. Apophyseal avulsion fractures are usually the result of a sudden forceful concentric or eccentric contraction of the muscle attached to the apophysis. Pelvicure physical therapy specializes in treating pelvic pain, pain with intercourse, bladder leakage, constipation, and other problems down there. Like other pediatric fractures, apophyseal avulsion fractures fail through the physis.2 this article reviews the most common sites of avulsions, anatomy, findings on history and physical examination, imaging commonly used in establishing the diagnosis, treatment, physical therapy protocol, and. Avulsions of pelvic apophyses (those for the aiis and the ischial tuberosity) are seen in clinical practice for the sports physician, treatments are typically early physical therapy and structured apophyseal avulsion fractures of the pelvis in adolescent competitive athletes are most common in. Most often, this occurs during sudden movements and changes in direction. In the pelvis, the newly formed secondary centers of ossification, the apophyses, are the most likely portions of the bone to avulse. Aiis and ischial tuberosity fractures are at increased risk of developing future pain and nonunions, respectively. Pelvic fracture is a disruption of the bony structures of the pelvis, including pelvic ring fractures, acetabular fractures, and avulsion fractures. Following a pelvic fracture, your physical therapist may help you learn to use an assistive device so you can move around your home without walking on the leg of the injured side.
Garden Jo Whiley House : Jo Whiley 2018 High Resolution Stock Photography And Images Alamy / Decorate fences or walls with favourite band or concert posters. . It's not an understatement to say that working on a garden for the chelsea flower show is a dream come true. Interior style advice with jo whiley | hillarys. Queens of the stone age. Give your interior a festival feel. Gardens house is a brand new development opened for the 2017/18 academic year, exclusively for ual students and is less than a minute's walk from gardens house gallery. Jo gardens is an award winning garden design business based near falmouth in cornwall, offering traditional, contemporary and sustainable designs to suit your lifestyle and outdoor space. Jo whiley on her secrets to happiness. Police cordon street following house fire. See descriptions, images and information about the show gardens at the rhs chelsea flower show cardiff 2017. Jo talks to the japanese house; ...
Best Chemical Peel For Hyperpigmentation On Black Skin : Chemical Peels Archives Slk Clinic - It's strong and can cause redness post peel. . Hyperpigmentation causes dark patches of skin on the body, anywhere from the face to the arms or legs. Determining the cause of the hyperpigmentation is important in selecting the best approach for. Black skin dark skin peels glycolic acid peels salicylic acid retinoic acid jessner solution trichloroacetic acid chemical peel spot peel melasma postinflammatory hyperpigmentation acne in general, very superficial and superficial peels are well tolerated on black skin, medium peels can. A chemical peel or microdermabrasion performed by a dermatologist or plastic surgeon are more aggressive options that can help even out skin tone. To fade unwanted spots, check out the best products for hyperpigmentation that work. A chemical peel or microdermabrasion performed by a dermatologist or plastic surgeon are more aggressive options tha...
What To Do When Someone Dies Checklist / What To Do When Someone Dies Kbc Brussels Bank Insurance : Besides letting family and friends know, there are several organisations you need to notify when a person has passed away. . Often, there are many things that a son or daughter need to navigate during an already difficult time, including money. Having a basic checklist of what to do after someone dies is helpful. This simple guide explains what you need to do first, and what to do in trying to settle your loved one's estate can be overwhelming. I got through the terrible time, but not without a lot of help. If you've lost a parent, spouse, sibling, child, or any other family member, we can help. When someone dies at home, you should call their gp immediately. Many of us have no idea what first steps we should take after the death of a loved one. Dealing with the financial affairs of someone close to you when you're grieving is never easy. The will is a le...
Komentar
Posting Komentar